Articulatia temporo mandibulara (ATM) este una dintre cele mai complexe articulatii ale corpului uman. Aceasta permite miscarea mandibulei …
Durează doar câteva minute să programezi o vizită online.
„*” indică câmpuri obligatorii
Articulatia temporo mandibulara (ATM) este una dintre cele mai complexe articulatii ale corpului uman. Aceasta permite miscarea mandibulei …
Bruxismul reprezinta o afectiune frecventa caracterizata prin scrasnirea sau inclestarea involuntara a dintilor. De cele mai multe ori …
Finalizarea tratamentului ortodontic nu înseamnă sfârșitul procesului de îndreptare a dinților. Pentru a te bucura pe termen lung …
Fațetele dentare reprezintă una dintre cele mai populare soluții pentru transformarea estetică a zâmbetului. Ele corectează imperfecțiuni precum …
Fațetele dentare reprezintă una dintre cele mai populare soluții pentru transformarea estetică a zâmbetului. Ele corectează imperfecțiuni precum …
Introducere Implantul dentar este una dintre cele mai moderne și sigure soluții de înlocuire a dinților pierduți. Totuși, …
Introducere Ai terminat tratamentul ortodontic și zâmbetul tău arată exact așa cum ți-ai dorit. Dar adevărata provocare abia …
Introducere Fațetele dentare sunt una dintre cele mai căutate soluții pentru îmbunătățirea esteticii zâmbetului. Acestea acoperă imperfecțiuni precum …
Cauzele pierderii unui implant dentar și cum pot fi prevenite Implanturile dentare sunt considerate soluții durabile pentru înlocuirea …
Ai nevoie de o a doua opinie stomatologica? Intreaba medicul Miko Dental Trimite planul de tratament sau radiografia …
Bruxism: cauze, simptome și tratamente eficiente Bruxismul este o afecțiune des întâlnită, care constă în scrâșnitul sau strângerea …
Un consult stomatologic nu este doar o verificare rapidă a dinților, ci o evaluare amănunțită a sănătății orale. …
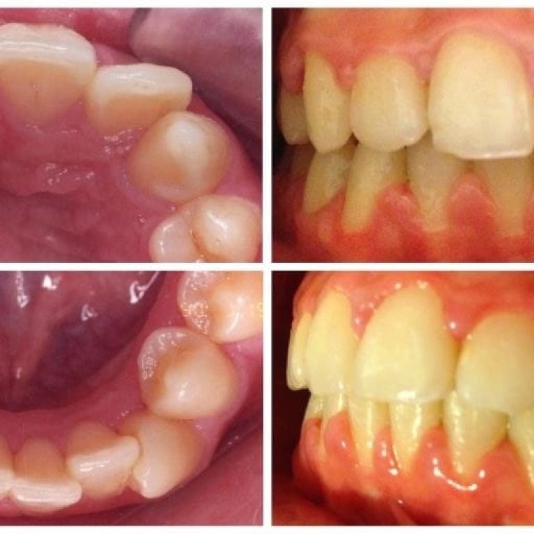
Retracția gingivală este o problemă serioasă care poate duce la sensibilitate dentară, expunerea rădăcinilor dinților și, în cazuri …
Dacă te trezești dimineața cu dureri de maxilar sau observi că dinții tăi sunt uzați, s-ar putea să …
Zâmbetul este cartea ta de vizită. Suntem ultraspecializați în tratamente de estetică dentare, pentru ca tu să-i oferi …
Botoxul este un tratament antiimbatranire preferat datorita sigurantei si eficacitatii sale, precum si gamei largi de aplicatii. Produsul …
Tulburarile articulatiei temporo-mandibulare (abreviata ATM) pot fi adesea prevenite, cu conditia sa fie cunoscute cauzele. Articulatia temporo-mandibulara, care …
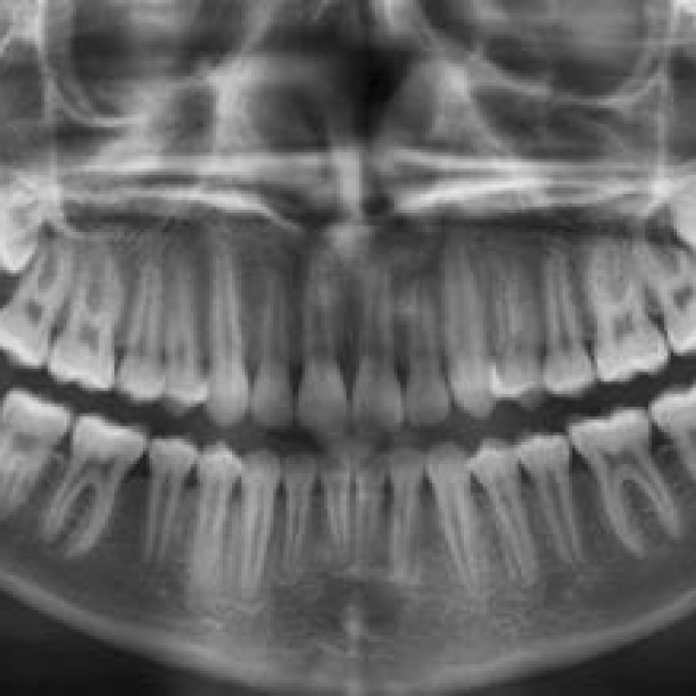
Malocluzia reprezinta o aliniere incorecta a dintilor in momentul muscaturii. In mod ideal, dintii de pe arcada superioara …
Luati anumite tratamente sau aveti o afectiune medicala si nu stiti daca puteti apela la implantologie dentara? Sunteti …
Unul sau mai multi dinti lipsa reprezinta un disconfort pentru pacient, de la mestecat defectuos, profil facial modificat, …
Cele mai cunoscute patologii ale gingiilor sunt gingivita si parodontita, dar in cazul gingiilor poate exista o problema …
Cariile reprezinta deteriorarea suprafetei dintelui sau a smaltului din cauza depunerii bacteriilor care formeaza placa bacteriana. Atunci cand …
Bruxismul este o afectiune caracterizata de o contractie involuntara a muschilor faciali, folositi in mod normal pentru mestecare. …