Programează o consultație online și primești rapid recomandarea potrivită.

*” indică câmpuri obligatorii

Acest câmp este folosit în scopuri de validare și trebuie lăsat neschimbat.

TRATAMENTE DE SUCCES ÎN MIKO DENTAL

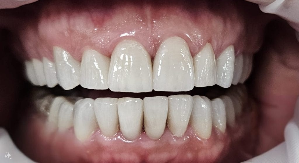
Fatete EMAX + coroane ceramica pe zirconiu

    • Problema: spatii interdentare, diferente de nivel si aliniere.
    • Solutie: fatete EMAX pe zona frontala + coroane ceramica pe zirconiu pe laterale.
    • Rezultat: zambet uniform, simetrie imbunatatita si aspect natural.

  • Vrei o evaluare personalizata? La consult primesti plan de tratament clar si optiuni adaptate.

Miko DentalMiko Dental
Before
After
Miko DentalMiko Dental
Before
After

Restaurare estetica si functionala cu fatete EMAX si coroane zirconiu

Pacientul nostru are zilnic motive sa zambeasca! Transformarea realizata de dr. Costin Boja, prin aplicarea fatetelor dentare EMAX pe zona frontala si a coroanelor individuale din ceramica pe zirconiu in zonele laterale, a fost un real succes. Pacientul se bucura acum de o fizionomie armonioasa, un aspect estetic natural si o imbunatatire semnificativa a functiei masticatorii si a dictiei.

Fatete integral ceramice EMAX Premium

Pacientul nostru are zilnic motive sa zambeasca! Tratamentul de estetica dentara realizat prin fatete integral ceramice EMAX Premium a transformat complet zambetul, oferindu-i un aspect natural, armonios si elegant. Rezultatul? O fizionomie imbunatatita, o estetica impecabila si o functionalitate optima. Daca iti doresti o schimbare similara, te asteptam la un consult la Miko Dental!

Miko DentalMiko Dental
Before
After
Miko DentalMiko Dental
Before
After

Restaurare orala completa All on 4 / All on 6

Reda-i zambetului tau demnitatea pe care o merita! Alege un tratament de restaurare orala completa All on 4 sau All on 6 cu implanturi dentare premium, pentru un zambet si o masticatie corecta, exact ca in vremurile bune.

IMPLANTOLOGIE DENTARĂ

IMPLANTURI DENTARE_Caz 37
IMPLANTURI DENTARE_Caz 21
IMPLANTURI DENTARE_Caz 27
IMPLANTURI DENTARE_Caz 33
IMPLANTURI DENTARE_Caz 16
IMPLANTURI DENTARE_Caz 8
IMPLANTURI DENTARE_Caz 39
IMPLANTURI DENTARE_Caz 36

PROTETICĂ - COROANE ȘI FAȚETE DENTARE

PROTETICĂ – COROANE ȘI FAȚETE DENTARE_Caz 29
PROTETICĂ – COROANE ȘI FAȚETE DENTARE_Caz 28
PROTETICĂ – COROANE ȘI FAȚETE DENTARE_Caz 24
PROTETICĂ – COROANE ȘI FAȚETE DENTARE_Caz 15
PROTETICĂ – COROANE ȘI FAȚETE DENTARE_Caz 14
PROTETICĂ – COROANE ȘI FAȚETE DENTARE_Caz 13
PROTETICĂ – COROANE ȘI FAȚETE DENTARE_Caz 11
PROTETICĂ – COROANE ȘI FAȚETE DENTARE_Caz 10
PROTETICĂ – COROANE ȘI FAȚETE DENTARE_Caz 1
PROTETICĂ – COROANE ȘI FAȚETE DENTARE_Before after Dr Mihai Dorobantu

PROTETICĂ - COROANE ȘI FAȚETE DENTARE

ORTODONTIE_Caz 36
ORTODONTIE_Caz 35
ORTODONTIE_Caz 34
ORTODONTIE_Caz 26
ORTODONTIE_Caz 20
ORTODONTIE_Caz 19
ORTODONTIE_Caz 12