Gingivita este cea mai frecventa afectiune inflamatorie a gingiilor si reprezinta stadiul incipient al bolilor parodontale. Desi este adesea subestimata, gingivita netratata poate evolua catre parodontoza, o afectiune grava care duce la pierderea dintilor. Acest articol explica ce este gingivita, care sunt semnele timpurii, cauzele principale si ce tratamente sunt recomandate pentru mentinerea sanatatii gingivale. Ce este gingivitaCuprinsCe este gingivitaSemne…
Extractia dentara este, in unele situatii, o interventie necesara. Totusi, pierderea unui dinte nu reprezinta finalul tratamentului, ci inceputul unei etape importante care presupune inlocuirea lui. Atunci cand dintele lipsa nu este inlocuit la timp, apar modificari progresive la nivelul danturii, cunoscute sub denumirea de migrarea dintilor. Acest articol explica ce este migrarea dentara, de ce apare dupa extractie si…
Diabetul zaharat este o afectiune cronica frecventa, iar multi pacienti diagnosticati cu diabet se intreaba daca pot beneficia de tratamente stomatologice complexe, precum implantul dentar. In trecut, diabetul era considerat o contraindicatie relativa pentru implanturile dentare, insa studiile moderne arata ca, in anumite conditii, implantul dentar poate fi realizat cu succes. Acest articol explica cand este posibil implantul dentar la…
Fatetele dentare sunt una dintre cele mai populare solutii de estetica dentara, oferind rezultate spectaculoase atunci cand sunt corect planificate. Unul dintre cei mai importanti pasi in realizarea unui zambet armonios este alegerea corecta a culorii fatetelor dentare. O nuanta nepotrivita poate compromite rezultatul final, chiar daca fatetele sunt realizate din materiale de calitate. Acest ghid explica in detaliu cum…
Implantologia dentara a evoluat constant, oferind pacientilor solutii tot mai sigure, estetice si biocompatibile. Pe langa implanturile dentare clasice din titan, o alternativa moderna este reprezentata de implantul dentar ceramic, o optiune preferata de pacientii care isi doresc materiale fara metal si rezultate estetice superioare. Acest articol explica in detaliu ce este implantul dentar ceramic, care sunt avantajele sale, cand…
Una dintre cele mai frecvente întrebări pe care pacienții o adresează medicului stomatolog este dacă un dinte afectat poate fi salvat sau dacă extracția este singura soluție. Tratamentul de canal reprezintă, în multe cazuri, metoda prin care dinții naturali pot fi păstrați funcționali ani la rând, însă există situații în care intervenția nu mai este posibilă. Acest articol explică, pe…
Tratamentul de canal este una dintre cele mai eficiente metode prin care un dinte afectat sever poate fi salvat și menținut funcțional pe termen lung. De-a lungul timpului, această procedură a fost asociată cu mituri legate de durere sau eșec, însă evoluția tehnologiei a schimbat complet modul în care endodonția este realizată astăzi. Tratamentul de canal la microscop reprezintă standardul…
Radiografia panoramică dentară este o investigație esențială în stomatologie, utilizată pentru diagnosticarea corectă și planificarea tratamentelor. Aceasta oferă o imagine completă a dinților, maxilarelor și articulațiilor temporo-mandibulare, fiind un pas important înaintea oricărui tratament complex. Ce este radiografia panoramicăCuprinsCe este radiografia panoramicăCând este necesară radiografia panoramicăCum se realizează proceduraAvantajele radiografiei panoramice digitaleCe informații oferă radiografia panoramicăCostul unei radiografii panoramice în…
Progresele din implantologie au făcut posibilă o alternativă modernă la protezele clasice: proteza pe implanturi dentare. Aceasta oferă stabilitate, confort și estetică superioară, eliminând problemele asociate protezelor mobile tradiționale. Ce este o proteză pe implantCuprinsCe este o proteză pe implantTipuri de proteze pe implantAvantajele protezei pe implant1. Stabilitate excelentă2. Confort și funcționalitate3. Prevenirea resorbției osoase4. Estetică naturală5. Durabilitate mareDezavantajele protezei…
Pierderea totală a dinților poate afecta semnificativ calitatea vieții, de la masticație și vorbire până la încrederea în sine. În 2026, pacienții au la dispoziție soluții moderne de protezare care oferă stabilitate, confort și estetică naturală. Dar care este cea mai bună proteză dentară totală pentru tine? Ce este proteza dentară totalăCuprinsCe este proteza dentară totalăTipuri de proteze dentare totale1.…
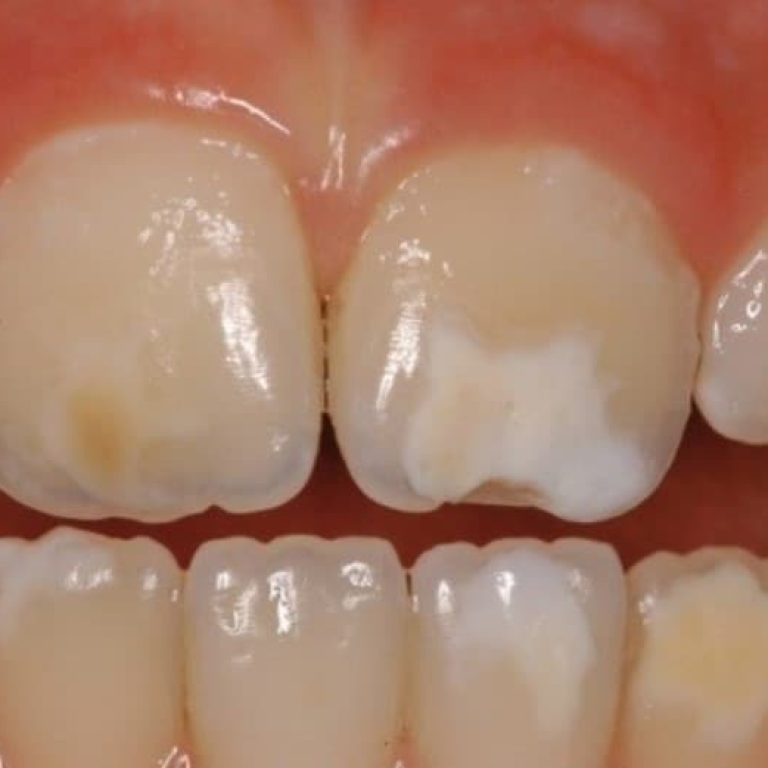
Demineralizarea dinților este una dintre cele mai frecvente probleme dentare, mai ales la copii și adolescenți, dar și la adulți care consumă frecvent alimente acide sau dulci. Această afecțiune marchează începutul procesului carios și poate fi tratată eficient dacă este depistată din timp. Ce este demineralizarea dințilorCuprinsCe este demineralizarea dințilorCauzele demineralizăriiSimptomele demineralizării dentareSoluții moderne de remineralizare1. Fluorizarea dentară profesională2. Tratamente…
Parodontoza este una dintre cele mai frecvente afecțiuni dentare la adulți și, netratată, poate duce la pierderea dinților. Din fericire, medicina modernă oferă astăzi soluții eficiente pentru stoparea evoluției bolii și regenerarea țesuturilor afectate. Ce este parodontozaCuprinsCe este parodontozaSimptome timpurii ale parodontozeiCauze și factori de riscTratamente moderne pentru parodontoză1. Detartrajul și chiuretajul subgingival2. Tratamentul cu laser3. Grefele osoase și de…
Alegerea unui stomatolog bun în București poate părea o provocare, mai ales când există atât de multe clinici și oferte. Totuși, diferența dintre o experiență pozitivă și una neplăcută ține de câteva detalii importante: experiența medicului, dotările cabinetului și modul în care ești tratat ca pacient. Când să mergi la stomatologCuprinsCând să mergi la stomatologCum verifici experiența mediculuiDotările cabinetului –…
Finalizarea tratamentului ortodontic nu înseamnă sfârșitul procesului de îndreptare a dinților. Pentru a te bucura pe termen lung de rezultatul obținut, este esențială o etapă la fel de importantă: retenția dentară. Aceasta menține dinții în poziția corectă, prevenind mișcările naturale care pot apărea după îndepărtarea aparatului dentar. Ce este retenția ortodonticăCuprinsCe este retenția ortodonticăTipuri de retenție dentară1. Retenție fixă2. Retenție…
Durerea ușoară după un tratament ortodontic este o reacție firească a organismului și indică faptul că dinții se adaptează la noua lor poziție. Totuși, mulți pacienți se întreabă cât este normal să dureze această senzație și ce pot face pentru a o calma. În acest articol vei afla cauzele, durata și recomandările medicale pentru gestionarea durerii după îndepărtarea aparatului dentar.…
Aparatul dentar din safir a devenit una dintre cele mai apreciate soluții ortodontice pentru pacienții care își doresc un tratament eficient, dar și discret din punct de vedere estetic. Acesta oferă rezultate excelente, fiind aproape invizibil, datorită transparenței cristalului de safir. Ce este aparatul dentar din safirCuprinsCe este aparatul dentar din safirAvantajele aparatului dentar safirDezavantajele aparatului dentar safirCât costă un…
Albirea dentară profesională este una dintre cele mai căutate proceduri estetice, iar tehnologia laser a revoluționat modul în care obținem un zâmbet alb și strălucitor. În 2026, tratamentele de albire dentară cu laser sunt mai sigure, mai rapide și mai eficiente ca niciodată. Ce este albirea dentară cu laserCuprinsCe este albirea dentară cu laserCum decurge proceduraAvantajele albirii dentare cu laserCât…
Fațetele dentare reprezintă una dintre cele mai populare soluții pentru transformarea estetică a zâmbetului. Ele corectează imperfecțiuni precum culoarea, forma sau spațiile dintre dinți, oferind un aspect natural și uniform. Însă atunci când vine momentul alegerii, apare întrebarea: fațete EMAX sau fațete Zirconiu – care sunt mai bune și mai rezistente în timp? Ce sunt fațetele dentareCuprinsCe sunt fațetele dentareFațetele…
Fațetele dentare reprezintă una dintre cele mai populare soluții pentru transformarea estetică a zâmbetului. Ele corectează imperfecțiuni precum culoarea, forma sau spațiile dintre dinți, oferind un aspect natural și uniform. Însă atunci când vine momentul alegerii, apare întrebarea: fațete EMAX sau fațete Zirconiu – care sunt mai bune și mai rezistente în timp? Ce sunt fațetele dentareCuprinsCe sunt fațetele dentareFațetele…
Pentru mulți pacienți care și-au pierdut toți dinții, proteza mobilă tradițională poate fi o sursă constantă de disconfort: alunecă, creează leziuni sau nu permite o masticație eficientă. O soluție modernă, stabilă și estetică este supraprotezarea pe implanturi dentare – o combinație între implantologie și protezare, care redă funcționalitatea și zâmbetul natural. Ce este supraprotezarea pe implanturiCuprinsCe este supraprotezarea pe implanturiCum…
Implantul dentar este o soluție modernă, sigură și durabilă pentru înlocuirea unui dinte pierdut. Totuși, succesul pe termen lung al procedurii depinde nu doar de calitatea implantului, ci și de procesul de vindecare care urmează după intervenție. Mulți pacienți se întreabă: „Cât durează vindecarea după un implant dentar?” și „Ce pot face pentru a grăbi recuperarea?”. În continuare, vom detalia…
Introducere Zâmbetul este cartea noastră de vizită, iar dinții albi și curați transmit încredere, sănătate și frumusețe. Tot mai mulți pacienți aleg astăzi albirea dentară profesională cu laser, o procedură modernă, rapidă și sigură care oferă rezultate vizibile chiar de la prima ședință. Dar ce presupune exact acest tratament, cât de sigur este și cât durează efectul? Află toate detaliile…
Introducere Molarii de minte sunt ultimii dinți care erup, de obicei între vârstele de 17 și 25 de ani. În multe cazuri, aceștia nu au suficient spațiu pentru a se alinia corect, ducând la durere, inflamație și chiar la deplasarea celorlalți dinți. De aceea, extracția molarilor de minte este una dintre cele mai frecvente intervenții stomatologice moderne. În continuare, vei…
Introducere Implantul dentar este una dintre cele mai moderne și sigure soluții de înlocuire a dinților pierduți. Totuși, ca în orice intervenție chirurgicală, este firesc să apară disconfort sau durere în primele zile după operație. Important este să știi ce simptome sunt normale și când acestea pot indica o complicație. În continuare, îți explicăm tot ce trebuie să știi despre…
Introducere Ortodonția modernă oferă astăzi mai multe opțiuni ca oricând pentru a obține un zâmbet perfect. De la aparatul dentar clasic, cu brackeți metalici, până la gutierele ortodontice transparente, tratamentele au evoluat pentru a combina eficiența medicală cu estetica. Dar care este cea mai bună alegere pentru tine? În continuare comparăm cele două metode, cu toate avantajele și limitările lor,…
Introducere Protezele dentare clasice au fost mult timp singura soluție pentru pacienții care și-au pierdut toți dinții. Astăzi însă, datorită progreselor în implantologie, există o opțiune mult mai stabilă și confortabilă: proteza pe implanturi dentare. Această soluție combină rezistența implantului dentar cu funcționalitatea și estetica unei proteze moderne, oferind pacienților libertatea de a zâmbi, mesteca și vorbi natural. Ce este…
Introducere Extracția unei măsele este una dintre cele mai frecvente intervenții stomatologice, iar perioada de după operație este esențială pentru o vindecare completă și fără complicații. Respectarea indicațiilor medicului privind alimentarea, igiena și îngrijirea zonei face diferența între o recuperare rapidă și apariția inflamațiilor dureroase. În continuare, îți explicăm pas cu pas cum decurge procesul de vindecare și ce trebuie…
Introducere Ai terminat tratamentul ortodontic și zâmbetul tău arată exact așa cum ți-ai dorit. Dar adevărata provocare abia acum începe: menținerea rezultatului pe termen lung. Dinții au tendința naturală de a reveni la poziția inițială, iar fără o perioadă de contenție corectă, efortul și investiția din timpul tratamentului pot fi pierdute. În acest articol afli cum să îți păstrezi zâmbetul…
Introducere Durerea dentară intensă sau infecțiile apărute la rădăcina dintelui nu mai înseamnă astăzi o extracție inevitabilă. Datorită progreselor tehnologice, tratamentul endodontic la microscop a devenit una dintre cele mai eficiente metode de a salva un dinte afectat, menținându-l funcțional mulți ani. În acest articol vei descoperi ce presupune tratamentul la microscop, când este necesar, care sunt beneficiile și cum…
IntroducereCuprinsIntroducereCe sunt fațetele EMAX?Avantajele fațetelor EMAX:Indicații:Ce sunt fațetele din zirconiu?Avantajele fațetelor din zirconiu:Dezavantaje față de EMAX:Estetică vs. rezistență – cum alegi?1. Zona aplicării:2. Forțele masticatorii și obiceiurile pacientului:3. Nuance și opacitate:Procesul de aplicare este similarÎntreținerea fațetelorRecomandări:Unde poți face această alegere în siguranță?ConcluzieReferințe Fațetele dentare sunt una dintre cele mai căutate soluții pentru îmbunătățirea esteticii zâmbetului. Acestea acoperă imperfecțiuni precum dinți…
