Do you need a mobile or fixed orthodontic device? An incognito or a metallic or fizionomic breach? Or maybe sapphire. Do you already have an orthodontic device and just go to control? Dental office Miko Dental Bucharest offers complete orthodontic services.
AT ANY ORTHODONTIC EQUIPMENT, BONUS PROFESSIONAL HYGIENE AND FREE RX!
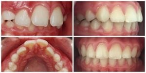
The 11-year-old patient was introduced to the clinic for the application of a fixed dental appliance to correct the occlusion. He wore a fixed metallic appliance for a year and a half, and the end result made it much more smiling and confident. Georgiana Bordei

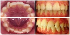
The 24-year-old patient presented himself at the office with the desire to straighten his teeth. After applying the ceramic dental appliance and wearing it a year and a half, dental alignment and occlusion correction were achieved. This case was resolved without dental extraction. Georgiana Bordei
